Une IA capable de prédire le risque de cancer du sein 5 ans à l'avance

Le fact-check
Historique
2 étapesPost Reçu
Publication
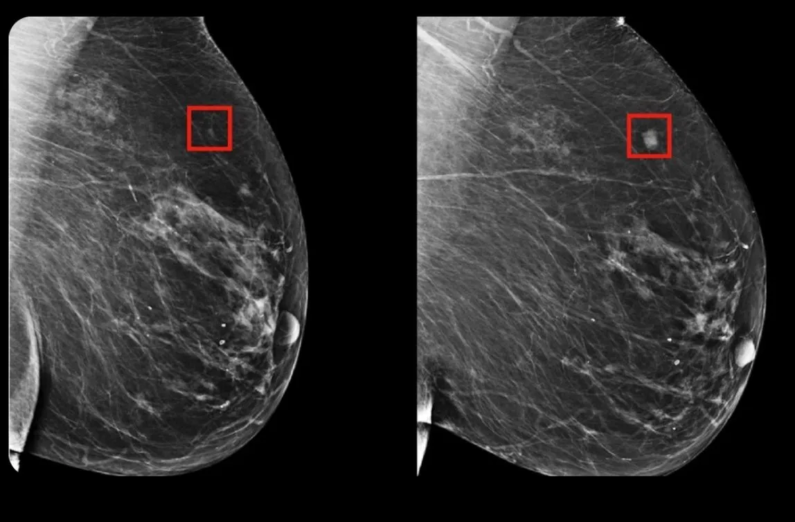
C'est vrai, mais ce n'est pas nouveau. Le modèle d'IA nommé MIRAI est capable de détecter les futurs cancers du sein. Ce modèle est développé depuis 2019 grâce à une collaboration entre le MIT et la clinique Jameel. En 2021, ils ont amélioré leur modèle et effectué des tests à grande échelle, notamment en Suède et à Taïwan. Un article scientifique a été publié dans la revue Science en janvier 2021. 🌐 https://news.mit.edu/2019/using-ai-predict-breast-cancer-and-personalize-care-0507 🌐 https://news.mit.edu/2021/robust-artificial-intelligence-tools-predict-future-cancer-0128 🌐 https://www.science.org/doi/10.1126/scitranslmed.aba4373 Il est intéressant de noter que MIRAI est encore en test de manière prospective et rétrospective dans plusieurs pays. Cela permet de s'assurer que le modèle fonctionne correctement avant qu'il puisse être déployé dans les hôpitaux. 🌐 https://jclinic.mit.edu/mirai-faq/ D'ailleurs, c'est intriguant de voir que ce modèle d'IA, qui date de trois ans (ce qui est une éternité dans le monde académique), est republié en masse sur les réseaux sociaux. Nous n'avons pas trouvé la source originelle qui a commencé cette tendance. Serait-ce le début d'un soulèvement de l'IA? 🤖
Vous avez une question, une remarque ou une suggestion ? Contactez-nous, nous vous répondrons au plus vite !
Nous contacter

